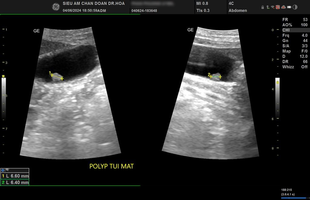
Một cô khách trẻ đã từng khám tổng quát ở một phòng khám Quốc tế chẩn đoán Sỏi túi mật và hôm nay đến Phòng siêu âm chẩn đoán Dr Hoa để kiểm tra Sỏi túi mật như thế nào? Khi đặt đầu dò mình thấy là Polyp túi mật nhưng chẩn đoán này sẽ khác hoàn toàn với Sỏi túi mật như cô được biết trước đó, mình phải làm sao cho cô ấy tin đây là Polyp chứ không phải Sỏi như cô đã từng khám mà Bs tư vấn cho cô trước đó? Polyp túi mật là một cấu trúc echo dày, không có bóng lưng (thậm chí phổ Doppler màu không xảo ảnh lấp lánh (Twinkle artifact)), không thay đổi theo tư thế. Mình siêu âm thích chụp hình rõ, chuẩn và đẹp!
#polyp_túi_mật
#siêu_âm_bụng_tổng_quát





Nhận xét
Đăng nhận xét