TẦM QUAN TRỌNG CỦA VIỆC SIÊU ÂM TẦM SOÁT UNG THƯ VÚ
Đa số những trường hợp Dr Hoa siêu âm phát hiện ung thư vú cho các chị em phụ nữ là trong hoàn cảnh siêu âm tuyến vú định kỳ nhân dịp đi khám sức khỏe tổng quát hằng năm.
Hầu hết chưa biểu hiệu hoặc không thấy triệu chứng gì ở nhũ
hoa. Ví dụ như các trường hợp trong các hình kèm theo dưới đây.
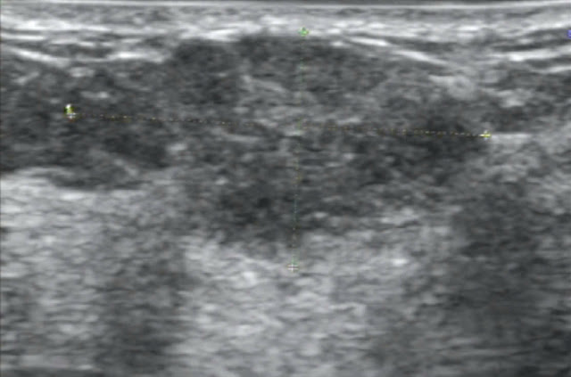
Trường hợp siêu âm tuyến vú 01:
- Bệnh nhân nữ, 49 tuổi
- Lý do siêu âm tuyến vú kiểm tra.
- Hình ảnh siêu âm: tổn thương echo kém, hình không đều, kt
# 25x18mm, trục song song mặt da, bờ có một phần không xác định, halo (+) vị
trí 3h ->9h, âm phía sau tổn thương không đều, xâm nhiễm da.
- Giải phẫu bệnh CARCINÔM CỦA VÚ, XÂM NHẬP, DẠNG NST, ĐỘ 2
(INVASIVE BREAST CARCINOMA OF NO SPECIAL TYPE, GRADE 2).
Nhuộm hóa mô miễn dịch tế bào u, có:
ER: (+) 100%; cường độ: 3; Allred score: 8/8
PR: (+) 100%; cường độ: 3; Allred score: 8/8
Her-2: (-)
Trường hợp siêu âm tuyến vú 02:
- Bệnh nhân nữ, 67 tuổi
- Lý do siêu âm tuyến vú kiểm tra.
- Hình ảnh siêu âm: tổn thương echo kém, hình không đều, kt
# 18x17mm, trục không song song mặt da, bờ có phần rõ và bờ có phần không xác định,
tạo góc tạo gai, halo (+) vị trí 1h ->4h và 9h ->11h, âm phía sau tổn
thương giảm mạnh, xâm nhiễm da, kèm vi vôi hóa trong tổn thương.
- Giải phẫu bệnh CARCINÔM CỦA VÚ, XÂM NHẬP, DẠNG NST, ĐỘ 2
(INVASIVE BREAST CARCINOMA OF NO SPECIAL TYPE, GRADE 2).
Trường hợp siêu âm tuyến vú 03:
- Bệnh nhân nữ, 48 tuổi
- Lý do siêu âm tuyến vú kiểm tra.
- Hình ảnh siêu âm: tổn thương echo kém hình không đều, kt
#10x8mm, trục song song mặt da, bờ mờ nhòe, halo (-), âm phía sau tổn thương
không đổi.
- Giải phẫu bệnh:
NGHI CARCINÔM
Trường hợp siêu âm tuyến vú 04:
- Lý do siêu âm tuyến vú kiểm tra.
- Hình ảnh siêu âm: tổn thương không dễ nhận ra ngay mà nhờ
bác sĩ sờ thấy cộm, hình không đều, echo kém không đồng nhất, kt # 31x16x24mm,
trục song song mặt da, bờ không xác định, halo (-), âm phía sau tổn thương
không đổi.
- Giải phẫu bệnh: Sau nhuộm hóa mô miễn dịch là CARCINÔM
TRONG ỐNG TUYẾN VÚ (INTRADUCTAL CARCINOMA OF BREAST).
Trường hợp siêu âm tuyến vú 05:
- Lý do siêu âm tuyến vú kiểm tra.
- Hình ảnh siêu âm: tổn thương echo kém, hình không đều, kt
# 27x16mm, trục song song mặt da, bờ đa cung nhỏ, halo (+) vị trí 4h ->7h,
âm phía sau tổn thương không đổi.
Trường hợp siêu âm tuyến vú 06:
- Lý do siêu âm tuyến vú kiểm tra.
- Hình ảnh siêu âm: tổn thương echo kém, hình không đều, kt
# 22x10mm, trục song song mặt da, bờ đa cung nhỏ, tạo góc tạo gai, halo (+) vị
trí 3h ->5h và 7h ->9h, âm phía sau tổn thương không đều.
Kết luận
Do đó, các chị em phụ nữ chúng mình nhớ sắp xếp thời gian đến
siêu âm tuyến vú kiểm tra nhũ hoa ít nhất một lần mỗi năm nhé!






Nhận xét
Đăng nhận xét